12 de março de 2026, 05:30 Busca no site:
 
 





Voltar

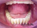
CASO REABILITADO POR PRÓTESE METALO-CERÂMICA SUPERIOR E PRÓTESE INFERIOR REMOVÍVEL SOBRE COROAS TELESCÓPICAS:

ANTES

DEPOIS

 
COROAS TELESCÓPICAS PRÓTESE INFERIOR POSICIONADA