 |
 |
| ANTES |
DEPOIS |
| |
|
 |
 |
| ANTES |
DEPOIS |
| |
|
 |
 |
| ANTES |
DEPOIS |
| |
|
 |
 |
| ANTES |
DEPOIS |
| |
|
 |
 |
| ANTES |
DEPOIS |
|
|
 |
|
| ANTES |
DEPOIS |
| |
|
|

|
 |
|
ARTICULAÇÃO DENTÁRIA E ENCERAMENTO SOBRE BASES DE PROVA MONTADAS EM ARTICULADOR SEMI-AJUSTÁVEL SERVINDO PARA:
CONFECÇÃO DE GUIAS CIRÚRGICA/MULTIFUNCIONAL E CONFECÇÃO DE PROVISÓRIAS (vista diagonal direita)
|
REPRODUÇÃO DA MONTAGEM SUPERIOR EM ACRÍCLICO AUTOPOLIMERIZANTE PARA FINS DE USO COMO DENTADURAS PROVISÓRIAS*
*ensaio importantíssimo para definir se as alterações de volume e dimensão serão toleradas pelo paciente ainda antes da seleção e da escolha do posicionamento ideal para os implantes
|
| |
|
 |

|
MODELO VAZADO E MONTADO EM ASA* (vista lateral direita)
|
PRECISÃO ARTICULAR OBTIDA PELA TÉCNICA
|
| |
|
 |
 |
| |
|
 |
 |
| |
|
 |
 |
| |
|
 |
 |
| |
|
 |
 |
| |
|
 |
 |
MODELO VAZADO E MONTADO EM ASA* (vista lateral esquerda) |
PRECISÃO ARTICULAR OBTIDA PELA TÉCNICA
|
| |
|
| |
|
 |
AMOSTRA/COMPARAÇÃO (SIMPLES CONFERÊNCIA) DE CORPO DE PROVA EM ACRÍLICO CONTENDO PIGMENTOS PARA CARACTERIZAÇÃO DE RESINAS COMO GENGIVA ARTIFICIAL |
| |
|
 |
VISTA OCLUSAL DA PRÓTESE INFERIOR ACRILIZADA PELA TÉCNICA MIMÉTICA DA CARACTERIZAÇÃO GENGIVAL
|
| |
|
 |
PRÓTESE INFERIOR ACRILIZADA PELA TÉCNICA MIMÉTICA DA CARACTERIZAÇÃO GENGIVAL
|
| |
|
 |
PRÓTESE INFERIOR ACRILIZADA PELA TÉCNICA MIMÉTICA DA CARACTERIZAÇÃO GENGIVAL (vista oclusal) |
| |
|
 |
PRÓTESE INFERIOR ACRILIZADA PELA TÉCNICA MIMÉTICA DA CARACTERIZAÇÃO GENGIVAL (vista basal) |
| |
|
 |
|
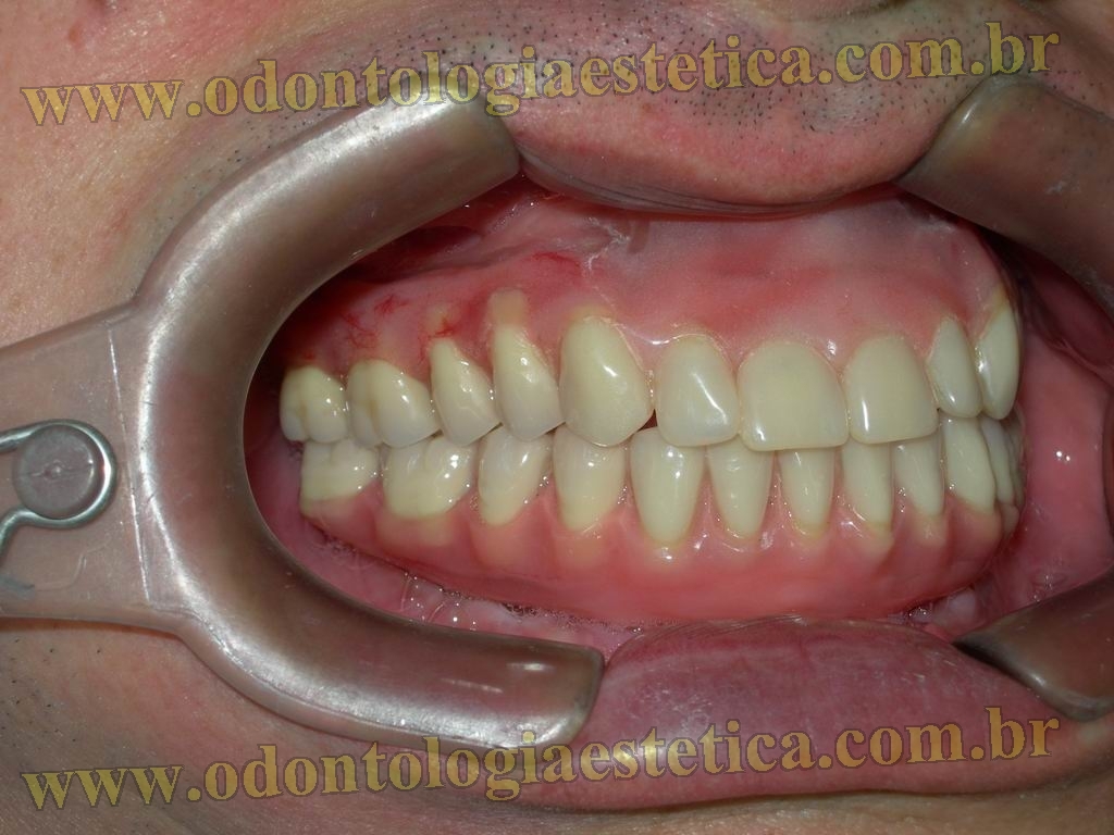
CONJUNTO INSTALADO ATESTANDO OS OBJETIVOS PROPOSTOS |
CONJUNTO INSTALADO ATESTANDO OS OBJETIVOS PROPOSTOS |
 |
 |
| |
|
 |
 |
| |
|
|
|
| |
|
 |
PERFIL APÓS TRATAMENTO |
| |
|
|

|
|

|
|
O planejamento e seleção do modelo de dentes de estoque para a realização deste tratamento foram inspirados na análise facial e das arcadas do filho do paciente (à sua esquerda no quadro acima). Assim personalizamos a estética baseado na análise de ambos os padrões faciais envolvidos nesse planejamento, muito semelhantes entre si.
|
| ESTE CASO ENCONTRA-SE MAIS MAIS RICAMENTE DETALHADO NA SESSÃO REVISTA ELETRÔNICA. |
|
Articulação dentária, planejamento e execução realizados pelo Dr. Amilcar Fernandes da Silva Neto
|