12 de março de 2026, 05:14 Busca no site:
 
 





Voltar

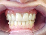
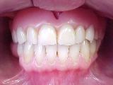
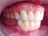
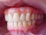
Reabilitação funcional e estética de paciente do
sexo feminino com atrofia-maxilar superior
Obs.: Neste tratamento seguimos a solicitação da paciente para que fosse
executado  somente o tratamento da arcada superior

ANTES

DEPOIS
 
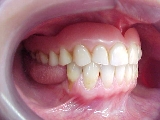
Vista Frontal
 
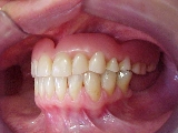
Vista Lateral Direita
 
Vista Lateral Esquerda
 
Antes Depois
 
 
Antes Depois
 
Antes Depois