10 de março de 2026, 06:46 Busca no site:
 
 





Voltar

 

 

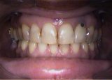
ANTES

DEPOIS
TRATAMENTO CLAREADOR INTRÍNSECO
 E RECONSTRUÇÃO EM RESINA COMPOSTA 
 
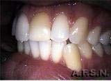
CLAREAMENTO DENTAL QUÍMICO
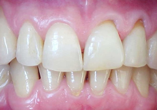
RESTAURAÇÕES ESTÉTICAS EM RESINAS
COROA PURA SISTEMA IN-CERAM
   
 
 

CLAREAMENTO UNITÁRIO POR FACETA CERÂMICA: