10 de março de 2026, 06:46 Busca no site:
 
 





Voltar
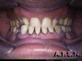
ANTES DEPOIS
Caso reabilitado por dentadura superior com gengiva artificial caracterizada (cor natural) e Prótese removível inferior sobre coroas telescópicas.
(Vista Frontal)
   

ANTES

DEPOIS

Vista Frontal
0
ANTES DEPOIS
Vista Lateral Direita
0
ANTES DEPOIS
Vista Lateral Esquerda
0
Coroas Telescópicas
0
As articulações dentárias (montagem laboratorial) do caso 
apresentado nesta página foram realizadas pelo 
Dr. Amilcar Fernandes da Silva Neto.