Tratamento cirúrgico da "Língua Presa". Frenectomia ou Frenulotomia Lingual
|
||
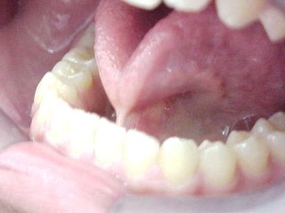
| Esta técnica cirúrgica destina-se à liberação dos movimentos funcionais da língua . Neste caso a inserção mais anterior se mostra aderida à gengiva:
|
||
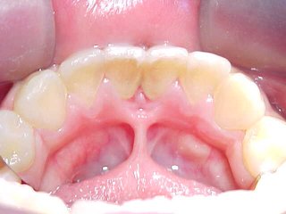
| Cirurgia realizada pelo Dr. Amilcar Fernandes Neto. |